Записаться на консультацию онлайн

Текущий month ye@r day *

Оставьте отзыв и оцените врача

Вы не указали имя

Вы не указали email

Вы не написали комментарий

Ваша заявка отправлена!

Записаться на прием

Ваша заявка отправлена!

Har bir murakkab amaliyot — bu shunchaki tibbiy jarayon emas.

 Har bir murakkab amaliyot — bu shunchaki tibbiy jarayon emas.

 Har bir murakkab amaliyot — bu shunchaki tibbiy jarayon emas. Bu — inson hayoti uchun olib borilgan kurash, har bir soniya muhim bo‘lgan mas’uliyatli qarorlar va yuqori darajadagi professionallik namunasidir.

Yana bir shunday murakkab amaliyot klinikamizning intervension kardiojarrohlari tomonidan muvaffaqiyatli amalga oshirildi. Bu kabi operatsiyalar zamonaviy texnologiyalar, chuqur bilim va katta tajribani talab qiladi. Har bir harakat aniqlik bilan bajariladi, har bir qaror esa bemorning sog‘lig‘i va hayoti uchun muhim ahamiyatga ega.

Bunday natijalarga erishish ortida katta jamoaviy mehnat turadi. Shifokorlar, hamshiralar va barcha tibbiyot xodimlari bir maqsad yo‘lida — bemorning sog‘lig‘ini tiklash uchun birgalikda harakat qiladi.

Eng muhimi — yana bir bemorning hayoti va sog‘lig‘i asrab qolindi. Bu esa bizning ishimizdagi eng katta yutuqdir.

Biz jamoamizning har bir a’zosi bilan faxrlanamiz. Ularning fidoyiligi, mas’uliyati va professional yondashuvi har kuni yangi natijalar va yangi umidlar olib kelmoqda.

___________

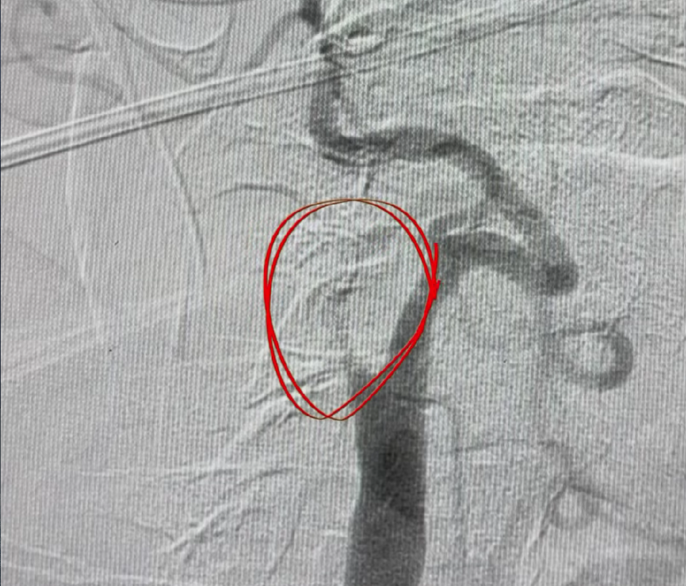
Каждая сложная операция — это не просто медицинская процедура. Это борьба за жизнь пациента, где каждая секунда имеет значение, а каждое решение требует максимальной ответственности и профессионализма.

Еще одна сложная операция была успешно проведена нашими интервенционными кардиохирургами. Подобные вмешательства требуют не только современных технологий, но и глубоких знаний, большого опыта и абсолютной точности в каждом действии.

За каждым успешным результатом стоит слаженная работа всей команды — врачей, медицинских сестер и специалистов, объединённых одной целью: сохранить здоровье и жизнь пациента.

Самое главное — удалось помочь еще одному пациенту и сохранить его здоровье. Это и есть главная ценность нашей работы.

Мы по праву гордимся нашей командой. Их профессионализм, преданность делу и ответственность ежедневно дарят пациентам надежду и уверенность в будущем.